Hydrocephalus Resource Library
Our Hydrocephalus Resource Library offers everything in one place, from toolkits and medical information to tips for daily life. Explore expert guidance on treatment options, managing the condition, and thriving at all stages of life. Empower yourself with knowledge.
Empowering Your Child to Be Their Own Advocate: Navigating Healthcare with Confidence
Empowering your child to advocate in healthcare builds confidence, communication skills, and independence for navigating lifelong medical care.
New HAPPIER Study Highlights Challenges in Accessing Care
New HAPPIER study reveals major gaps in access to care for people with hydrocephalus, including limited specialists, insurance barriers, and high costs.
Why Do Shunts Fail? A Glimpse Into Shunt Valve Evolution
Learn why shunts fail, how shunt valves have evolved, and what new innovations aim to reduce revision rates and improve long-term outcomes.
Pregnancy with Hydrocephalus: An Essential Overview
Plan pregnancy with hydrocephalus: understand risks, manage symptoms, prepare for delivery, and navigate postpartum recovery with confidence.
HA CONNECT: Where I Found Life-changing Community
The National Conference on Hydrocephalus, HA CONNECT, is where Carly found real connection, understanding, and lifelong friendships, no longer feeling alone in her journey.
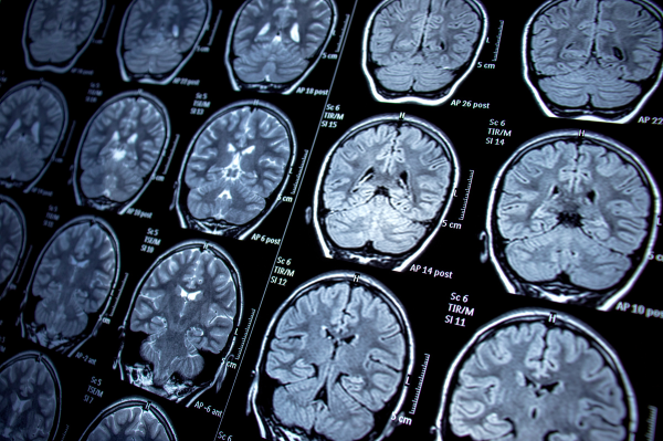
Neuroanatomy II: Understanding the Ventricles
In our previous article, Learning the Brain: Neuroanatomy Basics for Understanding Hydrocephalus, we discussed the anatomy of the brain and what happens to the brain in hydrocephalus. But one thing that is important to know...
Hydrocephalus Association Scholarship: Top Application Tips
Prepare a strong Hydrocephalus Association (HA) Scholarship application with key tips to stay organized, plan ahead, and submit your best work.
Government Benefits for People Living with Hydrocephalus
Learn how government benefits support people with hydrocephalus through financial assistance, medical coverage, and programs that help improve daily life.
Tips for Navigating the Holidays With Hydrocephalus
Navigating the holidays with hydrocephalus can be challenging. Learn tips for managing symptoms, reducing stress, and finding meaningful ways to celebrate.
Body Image and Scars: Living with Hydrocephalus
Scars from hydrocephalus surgery can impact body image and confidence. This article explores why scars can feel overwhelming and how to rebuild self-acceptance.
Abdominal Pain and Shunts
Understand how abdominal pain may relate to your shunt, what the causes may be, and when to contact your doctor.
Lumbar Puncture Explained: How It Helps Diagnose NPH
A lumbar puncture, or tap test, helps diagnose normal pressure hydrocephalus (NPH) by draining cerebrospinal fluid and assessing changes in gait.
Attitude of Gratitude: Staying Positive with NPH
Attitude of Gratitude: Dorothy embraces life with NPH and other health challenges, turning obstacles into opportunities for gratitude and growth
Emotional Impact of Chronic Pain: Finding Acceptance
Emotional impact of chronic pain can feel overwhelming. Explore ways to heal emotionally, embrace acceptance, and live with renewed purpose.
Dating With Hydrocephalus: Confidence and Boundaries
Learn how to approach dating with hydrocephalus—build confidence, set healthy boundaries, and create relationships grounded in trust and self-love.
Hydrocephalus versus NPH: What’s the Difference?
Many people under 60 think they have NPH—but it’s almost always seen in older adults. Learn the real causes of symptoms and how to get the right diagnosis.
Podcast: Dancing in the Rain: Scott + Angelica’s Story of Hope + Healing
In this heartfelt finale, Scott shares his journey through Angelica’s diagnosis, caregiving, and finding humor, hope, and resilience in the hardest moments.
Shunt Infection: Symptoms, Treatment, and Recovery
Learn how to recognize, treat, and recover from a shunt infection. Understand symptoms, surgery, and infection risks for different shunt types.
Tests to Diagnose Shunt or ETV Failure
Learn how doctors use imaging, fluid tests, and pressure monitoring to diagnose shunt or ETV malfunction in people with hydrocephalus.
Growing Up with Hydrocephalus: Finding My Own Timeline
Growing up with hydrocephalus taught Jenna to let go of expectations and embrace her own pace on a path that’s uniquely hers.
Understanding Continuous Lumbar CSF Drainage for NPH
Continuous lumbar CSF drainage is a hospital-based procedure and vital diagnostic tool for normal pressure hydrocephalus (NPH), helping predict response to shunt surgery.
Hydrocephalus in High School: Coping with Chronic Pain
Growing up with hydrocephalus in high school meant facing chronic pain, self-advocacy, and learning to trust your body when others didn’t believe you.
Podcast: The Search for the Silver Lining: Melissa & Abagail’s Hydrocephalus Story
Melissa joins the podcast to share Abagail’s hydrocephalus journey, reflecting on resilience, advocacy, and finding laughter along the way.
Podcast: Helping Children with Hydrocephalus Thrive with Neuropsychologist Dr. Jennifer Queally
In our podcast, neuropsychologist Dr. Jennifer Queally shares how hydrocephalus impacts learning and offers strategies for kids to thrive.
Podcast: Understanding Hydrocephalus: A Conversation with Pediatric Neurosurgeon Dr. Ramin Eskandari
This podcast explores hydrocephalus, treatment options, warning signs, and expert advice from Dr. Ramin Eskandari to guide patients and families.
Podcast: Faith, Family, and Fight: Crystal & Natalie’s Story of Resilience
In this podcast episode, Crystal shares her journey of faith and resilience as she navigates hydrocephalus, cerebral palsy, epilepsy, and autism with her daughter.
Podcast: We Just One-Daying It: Miya + Mila’s Hydrocephalus Story
In our first podcast episode, Miya shares her raw, powerful journey of raising a child with hydrocephalus and cerebral palsy—through crisis and beyond.
Podcast: When the Whole Family’s Admitted: NICU Care & Hope with Dr. Hallie Morris
Hydro Heroes Unite explores NICU life with Dr. Hallie Morris, sharing how hydrocephalus is diagnosed and how families find hope and support.
Podcast: Introducing Hydro Heroes Unite
Hydro Heroes Unite is a hydrocephalus podcast for parents and caregivers, sharing real stories and expert insights on pediatric care.
Hydrocephalus Podcasts
Hydrocephalus Podcasts Hydro Heroes Unite We’re excited to provide the hydrocephalus community with the Hydro Heroes Unite podcast! Created especially for the hydrocephalus community, this podcast is a space for learning, connection, and inspiration. We’re...
Building Better Devices: The Impact of the Hydrocephalus Engineering Workshop
The Hydrocephalus Association with the generous support from the Rudi Schulte Research Institute hosted their largest research workshop to-date in Columbus, Ohio to focus on Engineering in Hydrocephalus. This event brought together over 90 people...
The HAPPIER Registry Paper Is Now Published
We’re thrilled to announce that our HAPPIER registry has been published in a scientific journal—a major step toward ensuring the voices of people with hydrocephalus and their caregivers are reflected in research.
Running For A Cure: Spreading Hope for Hydrocephalus
Running for her son and others with hydrocephalus, Caroline turns awareness into action—one step, one story, one mile at a time.
The Hydrocephalus Scoop on Capitol Hill — July 2025
Congress passed the One Big Beautiful Bill, cutting $1B+ from Medicaid and risking healthcare for 11.8M, including many with chronic conditions like hydrocephalus.
In Memory of Maryam
In memory of Maryam, diagnosed with hydrocephalus before birth, Maryam’s journey highlights the critical care gaps faced by families across Africa.
Speaking Up for Kids: Bella Ferris Shares Her Story at UCLA Children’s Hill Day
Bella Ferris and her mother, Gloria, had the privilege to attend the Children’s Hospital Association Speak Now for Kids Family Advocacy Day in Washington, D.C. She represented patients at the UCLA Mattel Children’s Hospital while...
Hydrocephalus Association Statement on Reconciliation Bill Passage
The Hydrocephalus Association is deeply concerned about the bill’s sweeping cuts and changes to Medicaid. This will have severe impacts on healthcare access and coverage for individuals with chronic conditions and disabilities.
Pseudocysts in Hydrocephalus: Causes, Symptoms, Treatment
Learn about pseudocysts in hydrocephalus, their causes, symptoms, diagnosis, and treatment options for individuals with VP and LP shunts.
Shunt Malfunction: Frequently Asked Questions
Find answers to frequently asked questions about shunt malfunctions, including causes, symptoms, diagnosis, and when to seek medical attention.
Hydrocephalus: Frequently Asked Questions
Hydrocephalus: Frequently Asked Questions A hydrocephalus diagnosis affects not only the person but also their family and friends. Because there are many possible complications, there’s still a lot to learn about its causes, treatment options,...
The Hydrocephalus Scoop on Capitol Hill — June 2025
June updates on Medicaid cuts, CDMRP research funding, and telehealth bills impacting the hydrocephalus community. Make your voice heard on the Hill!
Central Sensitization in Hydrocephalus: Pain Amplification
Learn how central sensitization amplifies pain in hydrocephalus, intensifying chronic symptoms, and discover effective strategies for pain management.
Learning the Brain: Neuroanatomy Basics for Understanding Hydrocephalus
Neuroanatomy Basics for Understanding Hydrocephalus: A simple guide to neuroanatomy and hydrocephalus.
Explainer of the President’s FY 2026 HHS Budget Proposal
President’s FY 2026 budget proposes major NIH cuts, agency mergers, and restructures that could reduce neuroscience and hydrocephalus research funding.
The Hydrocephalus Scoop on Capitol Hill — May 2025
House passes bill with major Medicaid changes—millions could lose coverage. Learn how this impacts the hydrocephalus community and what’s next in the Senate.
Redefining Independence with Hydrocephalus
Discover how independence with hydrocephalus is personal. Explore resources, support, and tools to help you live on your terms.
Medicaid Impact of U.S. House Reconciliation Package on People with Hydrocephalus
Learn how proposed federal Medicaid changes could affect people with hydrocephalus, including burdensome administrative requirements, cuts to vital health services, home care, and coverage for medical equipment.
Neuropsychology 101: Understanding Cognitive Function in Hydrocephalus
Learn how neuropsychology helps identify and manage cognitive symptoms in hydrocephalus—and how research is advancing care and quality of life.
The Hydrocephalus Scoop on Capitol Hill — April 2025
Congress has returned to Capitol Hill following Easter recess and is beginning the reconciliation process for a major legislative package. Big decisions are being made — and we have everything you need to know.
Healthy Meal Prep Tips: Plan and Prepare Nutritious Meals
Master meal prep with these tips for planning, cooking, and storing nutritious meals that save time and help you stay on track with your health goals.
Energy Boosting Foods: Stop Feeling Tired and Fuel Your Day
Stop feeling tired! Eat these power foods to boost your energy, stamina, and vitality. Discover the best meals to fuel your day and keep you energized.
Helping Teens Navigate Social Dynamics and Build Confidence
Learn strategies to help teens with hydrocephalus navigate social dynamics, build confidence, and overcome challenges like anxiety and communication barriers.
Overcoming Emotional Struggles and Building Resilience
Living with hydrocephalus presents unique challenges, but emotional health and resilience are key to not just coping, but flourishing despite them.
Dereck’s Hydrocephalus Journey: Finding the Silver Lining
Discover how Dereck finds silver linings and strength in everyday moments while living with hydrocephalus and overcoming over 500 brain surgeries.
NPH: Optimize Your Quality of Life with Key Strategies
Discover how to optimize your quality of life with NPH through exercise, support systems, and effective strategies for managing daily challenges.
Developing an Emergency Plan for Hydrocephalus Complications
Prepare for hydrocephalus complications with a personalized emergency plan, including symptoms, medical contacts, action steps, and an emergency kit for peace of mind.
Balancing Life with Hydrocephalus: Key Strategies for Success
Discover key strategies for balancing life with hydrocephalus, managing health, relationships, and work, while thriving with practical tips and expert guidance.
Mastering the High School Transition with Hydrocephalus
Mastering high school transition with hydrocephalus starts with the right tools, planning, and support to help students thrive academically and socially.
A Future Without Brain Surgery? The Push for Non-Invasive Therapies for Hydrocephalus
What if treating hydrocephalus didn’t require brain surgery? The Hydrocephalus Association (HA) is working to turn this vision into reality!
The Scoop from Capitol Hill – March 2025
Get the latest federal updates on hydrocephalus research, advocacy, and policy changes. Learn how you can take action to protect critical funding and healthcare access!
Non-Invasive Therapies to Improve Hydrocephalus Outcomes
Research Priorities for Non-Invasive Therapies to Improve Hydrocephalus Outcomes Read Study Here Hydrocephalus presents significant challenges, and treatment typically involves brain surgery and shunts. However, shunts have one of the highest failure rates among medical...
Traveling with Hydrocephalus and Spina Bifida: Must-Know Tips
Traveling with hydrocephalus and spina bifida takes planning! Here are my tips for navigating air and train travel, accessibility, and accommodations.
Programmable vs. Fixed Pressure Valves: Key Differences
Learn the key differences between programmable and fixed pressure shunt valves, how they work, and when each is used to manage CSF drainage effectively.
Types of Shunt Systems for Hydrocephalus: What to Know
Shunt systems manage hydrocephalus by redirecting CSF for absorption. Learn about VP, VA, VPL, and LP shunts, how they work, and when they’re used.
The Latest Research on Shunt Occlusion
Understanding the cause of occluded catheters is key to improving shunt systems and brings hope that future designs will offer more reliable treatments, improving the quality of life for individuals with hydrocephalus and reducing the...
Managing Prescriptions as an Adult: Stay on Track Easily
Managing prescriptions as an adult? Stay on track with simple tips to organize meds, set reminders, and make prescription management easier.
Normal Pressure Hydrocephalus (NPH) vs Alzheimer’s and Parkinson’s
Learn how normal pressure hydrocephalus (NPH) differs from Alzheimer’s and Parkinson’s, key symptoms to watch for, and why the right diagnosis is essential.
Mindfulness for Hydrocephalus: Tools to Manage Stress
Mindfulness helps manage stress, improve focus, and build resilience for those with hydrocephalus and caregivers. Learn simple ways to incorporate it daily!
Prescription Management: Helping Your Teen Master It
Prescription management is easier with routines, reminders, and safety tips, empowering your teen to take charge of their health with confidence.
Emerging Technology
Emerging Technology Researchers are advancing clinical (human) and preclinical (animal) research focused on hydrocephalus to improve diagnostic and treatment technologies. The current research aims to improve outcomes, reduce complications, and personalize treatment. The landscape on...
The Scoop from Capitol Hill – February 2025
House and Senate Republicans have been focused on passing the Administration’s priorities. The Senate approved a billion-dollar budget framework focusing on defense and border enforcement funding. On the other side of the Capitol, the House...
Caring for the Caregiver: How to Recognize, Prevent, and Manage Burnout
Caring for a loved one with a medical condition like hydrocephalus is a profound act of love. But even the most devoted caregivers can feel the heavy weight of exhaustion, worry, and emotional strain. If...
Brain Fog: Simple Productivity Hacks for Clearer Thinking
Struggling with brain fog? These simple productivity hacks will help improve focus, stay organized, and manage daily tasks with ease. Small changes add up!
Boost Your Brain Power: Proven Strategies for Optimal Nutrition
Discover proven strategies for optimal nutrition to boost brain power, mental clarity, and cognitive function with essential nutrients and brain-healthy meals.
Can Diet Help with Headaches? Foods to Eat and Avoid
Can Diet Help with Headaches? Learn which foods help prevent headaches, which to avoid, and how hydration, nutrients, and meal timing can make a difference!
Research Priorities
Research Priorities In collaboration with experts in the field, HA has identified the pressing gaps and challenges in the different aspects of hydrocephalus to move research forward to improve care. Why does this matter? The...
Easily Explain Hydrocephalus to a Child with Confidence
Learn how to explain hydrocephalus to a child in simple terms. With support from doctors, family, and friends, kids can live happy and fulfilling lives.
Essential Guide: Developmental Milestones in Hydrocephalus
Discover key tips for tracking developmental milestones in kids with hydrocephalus. Learn how to support their growth with expert advice and resources.
Hydrocephalus Community Advocates for Change on Capitol Hill
The Hydrocephalus Association brought over 50 key leaders from the hydrocephalus community to advocate for change by meeting with their congressional representatives on Capitol Hill.
Overcoming Fatigue: Simple Habits to Boost Energy and Focus
Struggling with fatigue? Discover daily habits to boost energy, improve focus, and regain control over your well-being with simple, effective strategies.
Headaches and Hydrocephalus: Causes and Types Explained
It is not uncommon for people with hydrocephalus to experience headaches, whether they are shunt dependent or not. Discover the causes and types of headaches in hydrocephalus, from shunt issues to pressure changes, and how...
The January Hydrocephalus Scoop on the Hill
The 119th Congress is in full swing. Republican leadership is zoned in on crafting a large legislative package that includes key priorities around tax, immigration, and budgetary issues. The package will likely go through a...
Exploring Emerging Technology in Smart Shunts
To address the challenges of traditional shunt systems, scientists are developing innovative devices known as “smart shunts”. These emerging technologies aim to make hydrocephalus management easier.
My Transformative Fitness Journey with Hydrocephalus: Overcoming Challenges and Gaining Confidence
My journey to fitness with hydrocephalus taught me resilience, self-care, and confidence as I overcame challenges and embraced progress.
Effective Workplace Accommodations for Employees with Hydrocephalus
Discover key workplace accommodations for employees with hydrocephalus, including flexible scheduling, ergonomic setups, and emergency preparedness. Learn how to advocate for support, manage symptoms, and thrive in your career.
How to Say No Without Guilt While Living with Hydrocephalus
Living with hydrocephalus? Discover how to set boundaries, say no without guilt, and take control of your health with these empowering tips.
Sleep and Hydrocephalus: A Guide to Better Rest
Struggling with sleep? Discover common challenges, practical tips, and tools to improve rest and enhance your overall well-being.
How to Manage Invisible Symptoms of Hydrocephalus at Work
Managing invisible symptoms of hydrocephalus, like headaches, fatigue, and cognitive challenges, during the workday can feel overwhelming. This article offers practical strategies—from creating a supportive workspace to using symptom management kits—to help maintain productivity and...
Bringing in the Next Generation of Engineers in Hydrocephalus
The Hydrocephalus Association’s research department has expanded its outreach efforts to include engineers, aiming to broaden their network beyond physicians and scientists.
Exercise and Hydrocephalus: Stay Safe and Active
Discover how individuals with hydrocephalus can stay active and healthy. From low-impact exercises to high-intensity activities, find tips to safely incorporate fitness into your lifestyle.
Overdraining and Underdraining with Hydrocephalus: Key Causes, Symptoms, and Solutions
Overdraining and underdraining with hydrocephalus can lead to significant challenges. Learn about the causes, symptoms, and possible solutions.
Cerebrospinal Fluid (CSF) Leaks in Hydrocephalus: Causes, Symptoms, and Treatments
Cerebrospinal fluid (CSF) leaks are a challenging complication of hydrocephalus. Learn about causes, symptoms, treatments, and prevention to stay informed and supported.
Research Priorities to Improve Cognitive and Neuropsychological Outcomes in Hydrocephalus
Research Priorities to Improve Neuropsychological and Cognitive Outcomes in Hydrocephalus Read Study Here Hydrocephalus affects cognitive and emotional well-being across the lifespan. Challenges with attention, memory, learning, problem-solving, stress, anxiety, and depression are common and...
Understanding Anxiety, Depression, and Mental Health in Hydrocephalus
Anxiety and depression are common in people living with chronic conditions. Hydrocephalus is no exception. The link between hydrocephalus and mental health is influenced by a combination physical, emotional, and social factors. Explore how hydrocephalus...
Understanding a Shuntogram (Shunt Patency Study)
A shuntogram, or shunt patency study, checks if a shunt is working properly by tracking fluid flow to identify blockages or leaks.
Understanding External Ventricular Drains (EVDs) in Hydrocephalus Management
External Ventricular Drains (EVDs) are crucial for managing hydrocephalus, providing temporary relief and helping treat infections or test shunt effectiveness. Understanding their use can help patients and families feel more confident.
Understanding Intracranial Pressure (ICP) Monitors in Hydrocephalus: When and Why They’re Used
Intracranial pressure (ICP) monitors are essential for managing hydrocephalus, offering real-time insights into intracranial pressure. They help diagnose symptoms, evaluate shunt performance, and guide treatment decisions, empowering patients and families to actively participate in care.
Guide to Managing Headaches, Chronic Pain, and Hydrocephalus
Chronic pain and headaches can impact every aspect of life, but with the right strategies, relief is possible. This guide offers practical tips for managing symptoms, including tracking with HydroAssist®, staying hydrated, prioritizing sleep, and...
How to Explain Hydrocephalus to Your Teachers and Friends
Hydrocephalus can be tricky to explain, but keeping it simple helps: Share what’s important for others to know, like when you might need a break, and remember—it’s your story to tell, your way.
Looking Back at Key Accomplishments in 2024
2024 was a year full of legislative accomplishments for the Hydrocephalus Association and the broader hydrocephalus community. Our successes could not have been achieved without the hard work of advocates from across the country. Partners...
U.S. House Foreign Affairs Committee Holds Hearing on the Challenges Affecting Global Hydrocephalus Patients
The House Foreign Affairs Subcommittee’s November 20th hearing discussed global brain health challenges, focusing on hydrocephalus in developing countries. Experts, including Dr. Benjamin Warf of NeuroKids, highlighted the need for better care and training to...
Navigating Relationships with Hydrocephalus: Building Strong Connections
Navigating relationships with hydrocephalus requires patience, open communication, and mutual support. With understanding and balance, strong connections can thrive beyond the challenges.
Intimacy and Hydrocephalus: Strengthening Bonds Together
Learn how hydrocephalus affects intimacy and find ways to strengthen emotional and physical connections in romantic relationships.
Maximizing Your Doctor Appointments: Tips, Tools, and Insights
Doctor appointments can be overwhelming, but preparation is the key to making them count. This article offers practical tips, trusted resources, and insights from those living with hydrocephalus to help you take charge of your...
The Exclusive Hydrocephalus Scoop on the Hill | Key Updates for November 2024
Washington, D.C. is buzzing as Congress pushes key legislation and the Hydrocephalus Association partners with advocates to drive priorities forward. With government funding set to expire on December 20th, a short-term resolution is likely. The...
The Power of a Second Opinion: Advocating for Your Health
Even though second opinions are a common and accepted practice in medicine, many people feel uncomfortable asking for them.
Join a Clinical Trial
Help further hydrocephalus research by participating in clinical research trials. Your input is valuable in our quest to find a cure for hydrocephalus.
Announcing the 2024 Hydrocephalus Association Innovator Award Recipients
The Innovator Awards fund groundbreaking projects advancing hydrocephalus research, driving innovation, and improving outcomes for those impacted worldwide.
Breaking Myths About Hydrocephalus: What’s Fact and What’s Fiction?
Hydrocephalus is often misunderstood, with myths overshadowing the realities of this invisible condition. This blog breaks down common misconceptions, highlights the facts, and sheds light on the challenges faced by those living with hydrocephalus, proving...
Understanding Cerebral/Cortical Visual Impairment (CVI) and Hydrocephalus: How Vision Can Be Affected
Cerebral Visual Impairment (CVI) affects how the brain processes visual information. This article highlights the link between CVI and hydrocephalus, its impact on vision, and ways to support those affected.
Strategies for Coping with Memory Issues and Forgetfulness
Memory challenges can impact daily life in many ways, whether they’re related to managing medical conditions like hydrocephalus or are part of the natural aging process. Here are some practical strategies, tools, and resources to...
What Hydrocephalus Patients Should Know for Medicare Open Enrollment
As Medicare beneficiaries navigate through the open enrollment period, it is crucial for them to understand the surplus of 2025 changes as they choose a new Medicare insurance plan. The Medicare Open Enrollment Period began...
What to Expect With ETV Surgery
The best way to prepare for endoscopic third ventriculostomy (ETV) surgery is to learn as much as you can about the procedure, your medical team, and what to expect post-surgery. The thought of having to...
ETV and ETV with CPC
ETV Surgery Versus a Shunt A shunt system is a commonly used method to treat hydrocephalus and involves draining excess cerebrospinal fluid (CSF) from the brain into other parts of the body where it can...
ETV Complications
Complications of Endoscopic Third Ventriculostomy Hydrocephalus can be treated by undergoing a surgical procedure called endoscopic third ventriculostomy (ETV) or endoscopic third ventriculostomy with choroid plexus cauterization (ETV/CPC). ETV and ETV/CPC can be alternative treatments...
Get the Exclusive Hydrocephalus Scoop on Capitol Hill for October 2024
As healthcare advocates race to secure passage of critical bills before the end of the 118th Congress, the Hydrocephalus Association (HA) is joining forces on Capitol Hill, advocating for vital legislation to support Medicare coverage...
Scientists Uncover Emerging Insights on Fluid Systems in the Brain at the iNPH Research Workshop
In October 2024, the Hydrocephalus Association and RSRI hosted a workshop with over 70 experts to discuss cerebrospinal fluid (CSF) movement, a key factor in understanding idiopathic normal pressure hydrocephalus (iNPH).
About Hydrocephalus
What is Hydrocephalus? Hydrocephalus is a chronic, neurological condition caused by an abnormal accumulation of cerebrospinal fluid (CSF) within the cavities (ventricles) of the brain. Hydrocephalus happens when there is an imbalance between the amount...
Normal Pressure Hydrocephalus (NPH)
What is Normal Pressure Hydrocephalus (NPH)? Normal pressure hydrocephalus (NPH) is when there is a build-up of cerebrospinal fluid (CSF) in an area in the center of the brain called (ventricles). This causes the ventricles...
Hydrocephalus in Adults
Hydrocephalus occurs when there is a buildup of fluid, known as cerebrospinal fluid (CSF), in cavities called ventricles inside the brain. Anyone at any age can be diagnosed with hydrocephalus. Hydrocephalus in young and middle-aged...
Hydrocephalus in Pregnancy
Why do Babies Develop Hydrocephalus? Hydrocephalus that is present at birth is referred to as congenital hydrocephalus. Congenital hydrocephalus is caused by a complex interaction of genetic and environmental factors during fetal development. The most...
Hydrocephalus in Infants and Children
In simplest terms, hydrocephalus is extra fluid in the brain. The fluid, cerebrospinal fluid (CSF), is found within spaces (cavities) in the brain which are called ventricles. The main purpose of CSF is to cushion...
Advocates Participate in Rally for Medical Research To Educate Lawmakers on Hydrocephalus Research
The Hydrocephalus Association recently brought advocates to Washington, D.C. for the Rally for Medical Research Advocacy Day on Capitol Hill. This event united a diverse group of stakeholders, including doctors, scientists, patients, and caregivers, to...
HA Innovator Awardees Garner Multi-Million Dollar NIH Grants for Hydrocephalus Research
Hydrocephalus Association (HA) is thrilled to highlight the continued success of two of our Innovator Award recipients, Dr. Brandon Miller and Dr. Sheng Chih (Peter) Jin who have recently secured substantial multi-million dollar grants from...
Resources For Understanding Hydrocephalus
Resources For UnderstandingHydrocephalus About Hydrocephalus The Hydrocephalus Association is your trusted source for information at every stage of life. We offer resources that provide life-changing support to people living with hydrocephalus and their loved ones....
Discover the Types and Causes of Hydrocephalus
Types and Causesof Hydrocephalus Hydrocephalus is a complex, chronic condition that can develop for a variety of reasons. Hydrocephalus is a complex, chronic condition that can develop for a variety of reasons, sometimes as part...
RAISE Resilience Program
RAISE The Hydrocephalus Association’s Resilience Program The Hydrocephalus Association RAISE program is a six-module research-informed program intended to help caregivers of children with hydrocephalus build the skills of resilience. It was designed by the University...
Communicating and Non-Communicating Hydrocephalus
Communicating hydrocephalus occurs when the flow of cerebrospinal fluid (CSF) is blocked after it exits the ventricles. Non-communicating hydrocephalus occurs when the flow of CSF is blocked along one of or more of the narrow...
Congenital Hydrocephalus
Congenital hydrocephalus is caused by a complex interaction of genetic and environmental factors during fetal development.
Acquired Hydrocephalus
Acquired hydrocephalus develops after birth as a result of neurological conditions such as head trauma, brain tumor, cyst, brain bleed, or infection.
Cavan, Breccan, and Teagan
Caitlin shares her family’s unique journey of having three children diagnosed with hydrocephalus, beginning with her oldest son, Cavan. Despite being told the condition wasn’t genetic, both of her younger children, Breccan and Teagan, were...
Shunt Systems
What is a Shunt? The most common treatment for hydrocephalus is the surgical placement of a medical device called a shunt that drains the excess fluid from the brain to another part of the body.A...
You or Your Loved One Has Just Been Diagnosed – What’s Next?
Have you or a loved one been newly diagnosed with hydrocephalus? We’re here to help you on this journey!
Resources for Teens and Young Adults with Hydrocephalus
Resources For Teens and Young Adults Living with Hydrocephalus Know You’re Not Alone We are here to help you live your best life. Find essential tools and resources to help you advocate for yourself, make...
Just Like Any Other Beagle: Coloring Book
This coloring book helps children with hydrocephalus understand the condition through the story of Barney Beagle, making learning fun and engaging for families.
Complications of Shunt Systems
Shunt systems save lives and are successful in reducing pressure in the brain for most people. However, like any other long-term medically implanted device, they can malfunction (fail). Complications can arise from various factors, including...
Resources for Adults with Hydrocephalus
Resources For Adults Living with Hydrocephalus Know You’re Not Alone We are here to help you live your best life. Find essential tools and resources to help you advocate for yourself, make informed decisions, and...
Resources for Parents Caring for a Child with Hydrocephalus
Resources For Parents Caring for a Child with Hydrocephalus Know You’re Not Alone We’re here to help your child live their best life. As your child grows, our resources grow with you. Find essential tools...
A Guide for Families
We know a new diagnosis can be overwhelming. Our guide offers essential information on hydrocephalus in children, its diagnosis, treatment options, and supportive programs to help your family cope and thrive.
A Guide for Adults
Our guide offers essential information on hydrocephalus, including supportive programs to help your family navigate this journey with confidence!
Resources for Adults with Normal Pressure Hydrocephalus (NPH)
Resources For Adults Living with Normal Pressure Hydrocephalus (NPH) Know You’re Not Alone We are here to help you live your best life. Find essential tools and resources to help you advocate for yourself, make...
What to Expect with Hydrocephalus Shunt Surgery
The thought of having to undergo brain surgery is frightening and can be physically and emotionally taxing. That’s why it’s important to learn as much as you can about the procedure, get to know the...
Find a Community Network
Find a Community Network It’s important to know that you’re not alone as you deal with hydrocephalus. The Hydrocephalus Association’s Community Networks, also known as support groups, provide localized support, education, and empowerment through the community....
Get the Exclusive Hydrocephalus Scoop on Capitol Hill for September 2024
Stay informed with the latest updates on hydrocephalus advocacy from Capitol Hill as we highlight key legislative efforts and community engagement for September 2024.
Understanding the Choroid Plexus: Function, Location, and Its Role in Hydrocephalus
The choroid plexus produces cerebrospinal fluid (CSF), which cushions the brain and maintains pressure. Located in the brain’s ventricles, it plays a key role in fluid balance. When this balance is disrupted, conditions like hydrocephalus...
Research 101: Generalizability
The concept of Generalizability in research studies is especially important for individuals living with hydrocephalus because there are so many different causes.
Research 101: Brain Development
We are continuing our series on the role of cell junctions and the ventricular zone in the development of hydrocephalus.
Living with Hydrocephalus
Resources For Living with Hydrocephalus We have tools and tips to guide you through every stage in life. For Parents Gain the tools and resources to help you advocate for your child, make informed decisions,...
Get the Hydrocephalus Scoop on Capitol Hill for August 2024
Things in Washington, DC are both quiet and chaotic at the same time. Apparently, it’s a thing with the political world. Here’s the scoop on what’s happening on hydrocephalus issues.
How Cerebrospinal Fluid Works in Hydrocephalus
Cerebrospinal fluid (CSF) cushions, nourishes, and protects the brain and spinal cord. Learn how CSF flow, production, and absorption relate to hydrocephalus.
Nearly 20 Years of Endurance, Dedication, and Swimming the Unswimmable In the Name of Hydrocephalus Research with Team Hydro
Team Hydro is a group of dedicated volunteers and swimmers helping to raise awareness and funding for advanced research of hydrocephalus.
Finding Our Way with L1CAM
The causes of hydrocephalus are varied, but one with a clear genetic linkage is X-linked hydrocephalus, a genetic disorder that occurs in about 1 of 30,000 births.
Research 101: Junction, Junction, What’s Your Function?
By understanding why and how these disruptions occur, scientists may be able to repair or replace abnormal junctions and prevent or arrest the development of hydrocephalus.
Get the Hydrocephalus Scoop on Capitol Hill for July 2024
Things in Washington, DC are both quiet and chaotic at the same time. Apparently, it’s a thing with the political world. Here’s the scoop on what’s happening on hydrocephalus issues.
Community Research Priorities
Read Study Here Community Research Priorities We listened closely to the needs of our community over the last few years by conducting a formal study using the James Lind Alliance (JLA) methodology that included patients,...
Get Involved in Research
Get Involved In Research Researchers may have the scientific expertise, but they need input from people living with hydrocephalus in order to ask the right questions and develop treatments that will benefit our entire community....
Research We Fund
Research We Fund By connecting basic, translational, and clinical researchers, HA is accelerating hydrocephalus research and working to fulfill our mission. Bench to Bedside The Hydrocephalus Association Research Program is focused on advancing promising avenues...
Join the Hydrocephalus Patient Registry
HAPPIER is the Hydrocephalus Patient Registry where individuals and caregivers share experiences to advance hydrocephalus research and improve support and care.
The Clinical Networks
Clinical Networks The HCRN and AHCRN are focused on improving the lives of those living with hydrocephalus. Our Clinical Networks are Making a Difference! The HCRN and AHCRN are focused on improving the lives of...
Department of Defense Awards $5.6 Million Grant to Senseer Health Inc. for Innovative Hydrocephalus Shunt Monitoring Technology
DOD has awarded Senseer Health Inc. $5.6 million to develop an innovative medical monitoring device for individuals living with hydrocephalus. This could be a game-changer for the hydrocephalus community.
Get the Hydrocephalus Scoop on Capitol Hill for June 2024
Things in Washington, DC are both quiet and chaotic at the same time. Apparently, it’s a thing with the political world. Here’s the scoop on what’s happening on hydrocephalus issues.
National Partnership for Pediatric to Adult Care Transition (NPPACT) Hosts First Congressional Event
The Hydrocephalus Association, alongside several other organizations, hosted a Capitol Hill Briefing to address the significant challenges young adults with pediatric-onset conditions face when transitioning to the adult healthcare system, highlighting the urgent need for...
Research 101: The Importance of Sample Size
Having a large number of participants reduces the risk of accidently having extreme, or biased, groups. Let’s find out why.
Patient Engagement: A Key Healthcare Priority
HA staff recently attended the National Health Council’s (NHC) Science of Patient Engagement Symposium. The event, hosted in Washington, D.C., brought together an array of patients and patient organizations to speak on the importance of...
Traveling with Hydrocephalus
Your Resource to Traveling with Hydrocephalus Traveling Soon? Whether you are flying, cruising, camping, or driving abroad or within the states, the ability to travel is important to independence, self-esteem, and lifestyle. Individuals living with...
Physicians’ Directory
Find A Doctor To find a specialist, use the search tool below. New specialists are regularly added. DISCLAIMER: We are pleased to provide this resource and want to remind you that the Directory is not...
Research 101: Randomization
Our Research Blog 101 series continues with a look at how randomization works in clinical trials.
Questions for Your Doctor about Hydrocephalus
Questions for Your Doctor about Hydrocephalus All questions are valuable and this is your chance to take charge, so use our suggestions as a starting point. We have compiled lists of questions that we believe...
What to Ask Your Doctor about NPH
Creating and maintaining a good relationship with qualified doctors is vital in overall healthcare planning. We have compiled lists of questions.
What to Ask Your Doctor about Young and Middle-Age Adults with Hydrocephalus
Creating and maintaining a good relationship with qualified doctors is vital in overall healthcare planning. We have compiled lists of questions.
What to Ask Your Doctor about Teens with Hydrocephalus
Creating and maintaining a good relationship with qualified doctors is vital in overall healthcare planning. We have compiled lists of questions.
What to Ask Your Doctor About Infants and Children with Hydrocephalus
Creating and maintaining a good relationship with qualified doctors is vital in overall healthcare planning. We have compiled lists of questions.
Medical History Summary
Fill out this form to keep track of your medical history and other vital information regarding your health. Keep a printed copy always with you.
Advancing Engineering Solutions for Hydrocephalus
As part of its strategic plan, HA’s research team expanded its network to include bioengineers, inspiring a new generation to drive device innovation for hydrocephalus—leading to the Engineering Roadshow!
Prenatal FAQ Checklist for Expectant Parents
Receiving an unexpected prenatal diagnosis of hydrocephalus can be difficult to handle. Expectant parents can experience a range of emotions. We’re here for you.
Advancing Hydrocephalus Research and Treatment Options: Non-Invasive Therapy Research Workshop
More than 75 experts in hydrocephalus gathered in Cincinnati, OH for the 2024 Research Workshop focused on finding ways to better treat hydrocephalus, aiming to make treatments safer and less invasive.
Hydrocephalus Scoop on Capitol Hill for March 2024
Things in Washington, DC are both quiet and chaotic at the same time. Apparently, it’s a thing with the political world. Here’s the scoop on what’s happening on hydrocephalus issues. (March 2024)
Hydrocephalus Association Congressional Briefing on Capitol Hill
The Hydrocephalus Association recently partnered with the Defense Health Research Consortium (DHRC) to host a research-centered Congressional Briefing on Capitol Hill.
Revolutionary Women in Hydrocephalus Research – Dr. Blazer-Yost
Celebrate Influential Leaders during National Women’s History Month. Dr. Blazer-Yost, scientist and medical researcher is making strides for hydrocephalus.
In Memory of Our Miracle Carla
Carla’s journey began with a revelation that resonated with uncertainty. Carla was diagnosed with congenital hydrocephalus in-utero in the first trimester. Their physician, unfamiliar with delivering babies diagnosed with hydrocephalus, advocated for abortion, citing a...
Hydrocephalus Association Highlights Revolutionary Women in Medical Research
Celebrate Influential Leaders during National Women’s History Month. Dr. Robinson & Dr. Jantzie are both revolutionary women making strides for hydrocephalus
Get the Hydrocephalus Scoop on Capitol Hill for February 2024
Things in Washington, DC are both quiet and chaotic at the same time. Apparently, it’s a thing with the political world. Here’s the scoop on what’s happening on hydrocephalus issues.
Hydrocephalus Association Unites Advocates for 2024 Rare Disease Week
Members from the Hydrocephalus Association Action Network came to Washington, DC, to participate in the Everylife Foundation for Rare Disease’s Rare Disease Week, which took place from February 25-28, 2024.
Neural Tube Defects (NTD)
Learn about the genetics of neural tube defects, which can lead to hydrocephalus.
Research 101: An Explanation of Clinical Trials Design
Dr. Koschnitzky continues our Science Facts blog series with an explanation of the various clinical trial designs we find in hydrocephalus research.
Coping with Hospital Stays
If you have hydrocephalus, the hospital may be a very familiar place. Learn tips and tools on how to cope with hospitalizations.
Get the Hydrocephalus Scoop on Capitol Hill for January 2024
Things in Washington, DC are both quiet and chaotic at the same time. Apparently, it’s a thing with the political world. Here’s the scoop on what’s happening on hydrocephalus issues.
Genetic Mutations and their Role in Congenital Hydrocephalus
Hydrocephalus has been shown to have multiple causes, including numerous genetic origins. Dr. Jenna Koschnitzky explores genetic mutations in a three blog series.
Teacher Resources
Teacher Resources Give your child’s teacher the information they need to support your child on their academic journey. Teachers’ Guides to Hydrocephalus There is no “typical” learning profile that can be assigned to a child...
Medical Alert IDs and Hydrocephalus
Without proper ID of a medical condition, common symptoms can be misdiagnosed and appropriate care could be jeopardized or delayed. Learn more about Medical Alert IDs.
How to be an Assertive Member of the Treatment Team
People with hydrocephalus and their caregivers are highly encouraged to become active, assertive members of their treatment team.
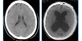
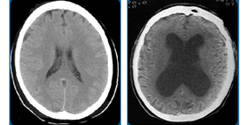
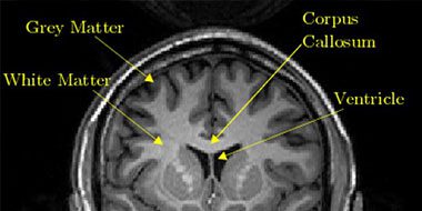
Grey is the new White? Not in the brain!
This Science Facts blog explains the difference between white and grey matter in the brain. Helping you untangle complex concepts and language in research studies!
Research 101: Levels of Evidence in Hydrocephalus Clinical Research Studies
Clinical studies are often reported in the news, but how do you know if the study is strong? Dr. Koschnitzky describes how to interpret the results of a study.
Neurons – a brain superhighway!
This month’s Science Facts blog focuses on the neuron and it’s role in basic brain function. Helping you untangle complex concepts and language in research studies!
Teacher’s Guide: Early Elementary (K-2nd)
Our Teachers’ Guides address common learning challenges faced by many children with hydrocephalus as well as their needs in mainstream classrooms.
Teacher’s Guide: Late Elementary (Grades 3-5)
Our Teachers’ Guides address common learning challenges faced by many children with hydrocephalus as well as their needs in mainstream classrooms.
Teacher’s Guide to Hydrocephalus: High School
Our Teachers’ Guides address common learning challenges faced by many children with hydrocephalus as well as their needs in mainstream classrooms.
Teachers’ Guide: Middle School (6th-8th)
Our Teachers’ Guides address common learning challenges faced by many children with hydrocephalus as well as their needs in mainstream classrooms.
The Hydrocephalus Scoop on Capitol Hill for December 2023
Things in Washington, DC are both quiet and chaotic at the same time. Apparently, it’s a thing with the political world. Here’s the scoop on what’s happening on hydrocephalus issues.
Health Challenges and School
Hydrocephalus, as well as the other medical conditions that can accompany it, can have an impact on a child’s ability to participate fully in school.
Toolkit for Transitioning Medical Care
Working with both pediatric and adult providers, we have developed a tool for you to use to help ensure a smooth transition of care.
Timeline for a Successful Transition to Adult Care
Mapping out a path to taking over your medical care once you are of legal age and/or ready to move away from home will help you have a successful transition into the adult medical world.
Primary Care Needs of Children with Hydrocephalus
Children with hydrocephalus may have life-long special health needs. It’s key that caregivers understand hydrocephalus to provide the right primary healthcare.
Learning Disabilities in Children with Hydrocephalus
Learning disabilities (difficulties) are not uncommon in kids with hydrocephalus. Parents must be prepared to act early to give their child the best chance for success.
Sending your Child to Daycare
Sending off a child to daycare is scary on its own. We have developed a checklist to help you prepare.
Social Skills Development in Children with Hydrocephalus
Some kids with hydrocephalus face difficulty developing their social skills. This article talks about those difficulties and suggests tools for overcoming them.
Dr. Peter Chiarelli Receives the Hydrocephalus Association Cynthia Solomon Resident’s Prize for Noninvasive Shunt Function Assessment Method
The Resident’s prize is awarded each year to the most promising hydrocephalus-related research paper presented by a neurosurgical resident at the Pediatric Section meeting of the AANS/CNS. The prize is designed to encourage young doctors...
Individualized Education Program (IEP)
Guidance for parents so they can learn how to develop and maintain good communication between with school personnel.
The Hydrocephalus Scoop on Capitol Hill for November 2023
Things in Washington, DC are both quiet and chaotic at the same time. Apparently, it’s a thing with the political world. Here’s the scoop on what’s happening on hydrocephalus issues.
Scholarship
Scholarship Program Established in 1994 to provide financial assistance to capable and promising young adults who live with the ongoing challenges and complexities of hydrocephalus. We are now accepting scholarship applications. All applications must be...
Bullying and Hydrocephalus
Bullying. We hold on to the 1950s image of the big kid on the playground taunting, name-calling, pushing, and intimidating other children.
Back To School Checklist
It’s that time of the year – back to school time! Here is a checklist that includes a couple of simple tips for starting the school year on the right foot.
Driving and Hydrocephalus
Driving is often seen as a rite of passage into adulthood. However, it’s not uncommon for individuals with hydrocephalus to experience challenges.
Advocate With Us
Advocate With Us The Hydrocephalus Action Network (HAN) is a grassroots network of volunteers “at the ready” who are willing to take action to help the Hydrocephalus Association advocate on behalf of all those affected by hydrocephalus....
Advocacy Strategy
Our Advocacy Strategy Alongside the hydrocephalus community, we advocate for policies, programs and agencies that help advance research into a cure for hydrocephalus and new treatment options, improve the lives of the over 1 million...
Congressional Pediatric and Adult Hydrocephalus Caucus
Congressional Pediatric and Adult Hydrocephalus Caucus The Congressional Pediatric and Adult Hydrocephalus Caucus works to increase awareness of hydrocephalus and the myriad of medical, educational, and social issues faced by the over 1 million Americans...
Transitioning from Pediatric to Adult Care
What You Need to Know A major milestone in a young adult living with hydrocephalus is the transition from pediatric to adult medical care. Planning for transition is vital, but this process can be complex...
The Hydrocephalus Scoop on Capitol Hill for October 2023
Things in Washington, DC are both quiet and chaotic at the same time. Apparently, it’s a thing with the political world. Here’s the scoop on what’s happening on hydrocephalus issues.
Video: About Hydrocephalus
Our video simplifies and explains what hydrocephalus is, showcases the treatment options, and highlights the key symptoms to look out for in case of complications. Take a minute to watch and expand your understanding like...
The Hydrocephalus Scoop on Capitol Hill for September 2023
Things in Washington, DC are both quiet and chaotic at the same time. Apparently, it’s a thing with the political world. Here’s the scoop on what’s happening on hydrocephalus issues.
Healthy Living: NPH
Healthy Living: NPH Staying healthy, from the inside out, is key to maintaining a good quality of life when living with normal pressure hydrocephalus (NPH). Gain tips and tools to optimize your body and mind...
The Hydrocephalus Scoop on Capitol Hill | August 2023
Things in Washington, DC are both quiet and chaotic at the same time. Apparently, it’s a thing with the political world. Here’s the scoop on what’s happening on hydrocephalus issues.
Post-surgical Depression
There’s one surgical complication that is seldom if ever, mentioned before or after surgery, post-surgical depression. Learn more.
The Remarkable Journey of One of America’s Earliest Shunt Surgeries
In 1957, Julia entered the world as a healthy infant. However, just 19 days old, Julia had one of the first successful shunt surgeries in the United States.
The Hydrocephalus Scoop on Capital Hill for June/July 2023
Right now, Congress has two important tasks as it works to increase the country’s debt limit and also come to agreement on how much money will be spent in next year’s federal budget. Here’s the...
Anuncia Medical, Inc., Announces Published Data with Clinical Outcomes Using the ReFlow™ Ventricular System In-Line with Hydrocephalus Shunts
Anuncia Medical, Inc., a company advancing innovations for cerebrospinal fluid (CSF) management systems and neurocritical care haspublished an article in the journal Pediatric Neurosurgery reporting the use of the ReFlow™ Ventricular System with Hydrocephalus shunts...
Study Finds ShuntCheck is an Effective Aid for Emergency Room Doctors
Study Finds ShuntCheck is an effective aid for emergency room doctors in determining the need for surgical intervention in a possible shunt failure. The most common treatment for hydrocephalus is the surgical placement of a...
Find a WALK Near You
HYDROCEPHALUS ASSOCIATION WALK To End Hydrocephalus 2026 Goal $1,900,000 0 Sponsor a WALK Help us find a cure for hydrocephalus by participating in a WALK to End Hydrocephalus near you. Every year, over 8,500 people...
The Hydrocephalus Scoop on Capital Hill for May 2023
Right now, Congress has two important tasks as it works to increase the country’s debt limit and also come to agreement on how much money will be spent in next year’s federal budget. Here’s the...
Living With NPH Part 2: Tips for Living With NPH
Frank Salamone shares tips for living with normal pressure hydrocephalus (NPH).
Living With NPH Part 1: Trying to Make Peace With a “New Normal”
Frank Salamone, L.C.S.W. is living with NPH and shares his story.
Dr. Stanley White, Living with NPH, Receives President’s Lifetime Achievement Award
Dr. Stanley White will receive the President’s Lifetime Achievement Award on April 28 at the Providence Mission Hospital Annual Awards Luncheon. Stanley has had NPH since 1986 and received a ventriculoarterial shunt at UCLA in...
Relationships and Hydrocephalus
Relationships and Hydrocephalus Share Navigating relationships can be difficult – even more so when complicated by hydrocephalus, headaches and other complications. An area that is often neglected is how hydrocephalus affects the most important aspects...
Employment and Hydrocephalus
Employment and Hydrocephalus Share Many adults diagnosed with hydrocephalus lead full lives with proper management of the condition. People diagnosed with hydrocephalus in childhood often go on to find jobs and people diagnosed in adulthood...
Announcing the Hydrocephalus Association’s 2022 Innovator Award Recipients
The 2022 Innovator Award recipients are investigating novel aspects about the development of hydrocephalus and evaluating innovative treatments to enhance long-term results.
What I Know Now: Tips to Prepare for Shunt Surgery
If you are an adult with NPH heading into your first shunt surgery or revision Frank Salamone has some tips for you!
Pen Pal Program
PEN PAL PROGRAM The Hydrocephalus Association’s Pen pal program is designed to support kids ages 7- 12. The Hydrocephalus Association’s Pen pal program is designed to support kids ages 7-12 in finding real and lasting...
The Hydrocephalus Scoop on Capitol Hill: Jan/Feb 2022 Update
It’s been a busy time in Congress. Find out what we’ve been up to on Capitol Hill!
Five Scientists Awarded HA Grants for Their Bold and Innovative Work
Announcing our 2021 Innovator Award recipients! These brilliant scientists are exploring new ideas about why hydrocephalus develops and testing new treatments to improve long term outcomes.
Grey Matter Brain Damage
This blog explains the difference between white and grey matter injuries and their effects on the brain.
The Benefits of Boxing
As a health and fitness professional, Sophia tells us that boxing is not about fighting, she believes that with the proper guidance and precautions, boxing can be an empowering and beneficial form of exercise for...
Transitioning to College: Healthcare Management
For many young adults living with hydrocephalus, college is the first time they are managing their medical condition(s) on their own, particularly if the individual has moved away from home to live on campus. For...
Transitioning to College: Academics
There are a lot of moving parts once a student with hydrocephalus commits to a college and moves on to requesting accommodations (for those that need them), honing their self-advocacy skills, and preparing to navigate...
Choosing the Right College
Alongside the typical comparisons for choosing a college, like cost, distance from home, academic major, etc., students with hydrocephalus should consider proximity to a medical center with neurosurgical care as well as compare the services...
College Status and Leave Policies
Students with hydrocephalus may require more flexibility in their college experience, due to unpredictable hospitalization, medical procedures, and illness. It’s important for students and families to understand the policies on full- and part-time student status...
College Programs for Academic and Accessibility Support
Academic support varies across colleges, from peer tutoring and writing centers to specialized programs to schools completely built around educating students with learning disabilities. Additionally, some schools are well known for their inclusive approach to...
Differences Between High School and College Accommodations
It is important for students and families to understand that the services, supports, and accommodations that a student received in high school may not be available in the college setting. The responsibility for requesting and...
The College Search
There is a lot to consider when thinking about transitioning to college with hydrocephalus. Beyond the typical considerations around academic fit and cost, you will also need to think about your medical needs and what...
Mental Health and Wellness for College Students
College is an exciting time for many students but it can also be overwhelming, as students transition to a more independent lifestyle with new academic and social pressures. It can be a lot for some...
TECHNOLOGY UPDATE: Rhaeos, Inc. Awarded NIH Grant to Advance Development of FlowSense Wireless Sensor
Rhaeos, Inc. was awarded an NIH grant to advance their development of wearable sensors to detect failed shunts in patients with hydrocephalus.
Fighting for Hydrocephalus Funding in Congress. October Update
October has been a busy time for Congress, and the Hydrocephalus Association has been hard at work ensuring that we have a seat at the table. We have an exciting new bill introduced and an...
The Importance of a Support System
Living with hydrocephalus can feel overwhelming at times. That’s why building a strong support system is so important. Our team of trained professionals is here to help! Our staff will listen to your concerns and...
I Can Relate Video Series: Who Freaks Out More When It’s Time for Brain Surgery – You or Your Parents?
In this episode of our I Can Relate Video Series, Cree, a high school senior, talks about who gets more anxious when it’s time for her brain surgery—her or her parents.
I Can Relate Video Series: After Brain Surgery, Do You Hide or Show Off Your Scars?
In this episode of our I Can Relate Video Series, Cree, a high school senior, opens up about how she feels about her scars after brain surgery.
I Can Relate Video Series: Do You Prefer the Cold or the Heat?
In this episode of our I Can Relate Video Series, Cree, a high school senior, shares whether she prefers cold or warm weather.
I Can Relate Video Series: Can You Hear Your Shunt?
In this episode of our I Can Relate Video Series, Cree, a high school senior, shares her experience with being able to hear her shunt.
I Can Relate Video Series: Cancelling Plans
In this episode of our I Can Relate Video Series, Cree, a high school senior, opens up about whether she ever lies about canceling plans because of hydrocephalus.
I Can Relate Video Series: Headaches
In this episode of our I Can Relate Video Series, Cree, a high school senior, discusses how she distinguishes between a hydrocephalus headache and a regular headache.
I Can Relate Video Series: Do You Feel Your Parents Are Overprotective?
In this episode of our I Can Relate Video Series, Cree, a high school senior, shares her perspective on whether she feels her parents are overprotective.
I Can Relate Video Series: Are You Comfortable With People Touching Your Hair or Your Head?
In this episode of our I Can Relate Video Series, Cree, a high school senior, shares her thoughts on feeling comfortable with others touching her hair and head.
I Can Relate Video Series: How do you Manage on a Bad Hydrocephalus Day?
In this episode of our I Can Relate Video Series, Cree, a high school senior, talks about how she manages tough days living with hydrocephalus.
I Can Relate Video Series: Are you Getting your Driver’s License?
In this episode of our I Can Relate Video Series, Cree, a senior in high school, discusses driving and hydrocephalus.
I Can Relate Video Series: Who do you tell that you have Hydrocephalus?
In this episode of our I Can Relate Video Series, Cree, a senior in high school, describes subjects that can be difficult in school.
The Hydrocephalus Scoop on Capitol Hill – Sept/Oct 2021
The Hydrocephalus Association has been busy protecting hydrocephalus-related research dollars in Congress, and working with members Congress to recognize National Hydrocephalus Awareness Month.
Announcement About Anuncia ReFlowTM System Mini
Earlier this year, Anuncia Inc., a medical device company focused on the development of treatment devices for hydrocephalus and other cerebrospinal fluid (CSF) disorders, announced that the ReFlowTM System Mini received the U.S Food and...
I Can Relate Video Series: What Subjects do you Find Difficult in School?
In this episode of our I Can Relate Video Series, Cree, a senior in high school, describes subjects that can be difficult in school.
In the NICU: Preparing Families for Life with Hydrocephalus
A recent study explored how neonatal intensive care units (NICUs) can better prepare families that receive a diagnosis of posthemorrhagic hydrocephalus of prematurity (PHHP).
Healthy Eating
Healthy Eating Share Research shows that a balanced diet can contribute to your overall health and help your body work more effectively. Learn more about the importance of healthy foods, diet, and nutrition. What You...
9 Foods to Nourish Brain Health
After having brain surgery, eating nutrient-dense foods that support your brain can promote healing. Learn more about the 9 foods that can help nourish brain health.
Hydrocephalus and Independence
By Madeleine Darowiche, HA Volunteer So, you’re considering living on your own for the first time, but you have hydrocephalus and question if it’s possible? You’ve come to the right place. My name is Madeleine...
How to Reconnect and Trust your Body
In this blog, Bethany Holmes, Certified Integrative Health Coach, and Reiki Practitioner discusses how to reconnect, trust, love, and heal your body after trauma.
A Mystery Disease: One Woman’s Struggle to Get Diagnosed with NPH
Merlin Bott woke up one morning in October 2013 with a severe case of vertigo. It quickly got worse and soon, she became so dehydrated that she had to be hospitalized. Finally after 29 harrowing...
Innovator Award Series: Get to Know Dr. Aditya S. Pandey
In this installment of our Meet the Innovator Award Grantees Blog Series, we interviewed Dr. Aditya S. Pandey, one of four scientists who received a 2020 Innovator Award. Dr. Pandey’s team is testing the use...
The Hydrocephalus Scoop on Capitol Hill March 2021
The cherry blossoms are blooming in Washington, DC, which is a sure sign that the new Congressional session is well underway. Let’s get you up to speed on what’s been happening on hydrocephalus policy issues...
My Thoughts for Teachers
Sarah Kell, an adult living with hydrocephalus, offers thoughts for teachers when working with a child with hydrocephalus.
Technology Update: Neurallys developing Bluetooth enabled ICP monitor
French startup Neurallys is developing an implantable intracranial pressure (ICP) monitor for hydrocephalus. The device continuously measures, records and sends ICP data to a patient’s smartphone via a Bluetooth connection.
2020 Innovator Award Series: Get to Know Dr. Stavros Taraviras
Learn about Dr. Stavros Taraviras, one of four scientists who received a Hydrocephalus Association 2020 Innovator Award. Dr. Taraviras is working to turn scar tissue back into ependymal cells as a novel therapeutic strategy for...
NPH and Emotional Well-Being
NPH and Emotional Well-Being Share Normal pressure hydrocephalus (NPH) can be overwhelming and emotionally challenging. It is a chronic condition that requires ongoing management, which has an impact on the emotional and mental well being...
Staying Active
Staying Active Share Exercise is key for your overall health. Exercise and staying active can provide physical and emotional benefits as well as improve your mood. Learn from what individuals living with hydrocephalus are doing...
Emotional Well-Being
Emotional Well-Being Share Hydrocephalus can be overwhelming and emotionally challenging. It is a chronic condition that requires ongoing management, which has an impact on the emotional and mental well being of the person living with...
NPH and Rehabilitation Services
NPH and Rehabilitation Services Share Undergoing surgery is a critical first step to regaining functionality lost to normal pressure hydrocephalus (NPH), but it may not be the whole solution. After surgery, physical therapy, occupational therapy,...
Balancing Work, School, and Hydrocephalus
In this blog, Carly shares the important takeaways about what it means to balance parts of your life along with hydrocephalus.
Advocacy Toolkit
Advocacy Toolkit Welcome to our Advocacy Toolkit. Here you will find suggestions, tips, and sample documents to use when raising awareness of hydrocephalus with elected officials. We are excited to work together to advocate for...
The Benefits of Informing Your Child’s School about Their Hydrocephalus
Informing your child’s school about hydrocephalus is important. Read these tips to ensure that you’re prepared when talking to the school about your child’s condition.
Get on the Right Career Track
When choosing a career, college major, or educational program, it’s important to take the time to explore your options.
Making Your Work Environment Work For You
Individuals with hydrocephalus can succeed at work despite their condition. Learn how to make your work environment work for you.
Recovering and Maintaining Functionality
Symptom improvement after shunt surgery to treat NPH is impacted by a number of variables. After surgery, PT, OT, and other therapies may be advised to help.
COVID-19 Guidance for People Living with Hydrocephalus
We know that the coronavirus (COVID-19) pandemic is causing concern and raising questions. To help you navigate, here you’ll find information and recommendations.
The Use of Lumboperitoneal Shunts in iNPH Patients
In the United States, the standard treatment for idiopathic Normal Pressure Hydrocephalus (iNPH) patients is a ventriculoperitoneal shunt (VPS). But a new study explores the effectiveness of lumboperitoneal shunts (LPS), which have also been shown...
I Can Relate Video Series: Do You Share Your Scars?
In this episode of our I Can Relate Video Series, Cree, a high school senior, talks about who gets more anxious when it’s time for her brain surgery—her or her parents.
I Can Relate Video Series: Who Worries More? You or Your Parents?
In this episode of our I Can Relate Video Series, Lauren reflects on whether she or her parents worry more about her hydrocephalus.
I Can Relate Video Series: Who Do You Share Your Condition With?
In this episode of our I Can Relate Video Series, Lauren opens up about who she chooses to share her hydrocephalus condition with.
I Can Relate Video Series: What is the Best App You’ve Found?
In this episode of our I Can Relate Video Series, Lauren talks about the best app she’s discovered that helps her manage life with hydrocephalus.
I Can Relate Video Series: Types of Headaches
In this episode of our I Can Relate Video Series, Lauren discusses the different types of headaches she experiences with hydrocephalus.
I Can Relate Video Series: How Do You Tell Your School About Your Condition?
In this episode of our I Can Relate Video Series, Lauren shares her experience with informing her school about her hydrocephalus.
Study Explores Quality of Life of Children with Hydrocephalus and Caregivers
A new study published in the Journal of Neurosurgery: Pediatrics assessed quality of life and mental wellbeing of both children with hydrocephalus and their caregivers.
High School
High School Share Starting high school is an exciting milestone filled with new opportunities, friends, and experiences. But if you’re living with hydrocephalus, this transition can also feel overwhelming and even intimidating at times. High...
Headaches and Hydrocephalus
Headaches and Hydrocephalus Share It is not uncommon for people with hydrocephalus to experience headaches. Find the resources, tips, and tools you need to manage daily pain. What You Need to Know Headaches and Hydrocephalus:...
Sophia Gigante: Finding Strength from Within
Born with hydrocephalus and later developing hypotonia, Sophia Gigante was tired of hearing doctors tell her no. But at age 16, a trip to the gym changed everything and she soon realized there wasn’t much...
Get to Know Dr. Engin Deniz: HA 2019 Innovator Award Grantee
For our Meet the Innovator Award Grantees Blog Series, we interviewed Dr. Engin Deniz, one of four scientists who received a 2019 Innovator Award. Through his research, he hopes to determine how cilia, small hair...
20 Powerful Facts About Hydrocephalus
Use our hydrocephalus facts and stats to educate your friends, family, and social followers. Together, we can build public awareness about this condition! 1. Hydrocephalus is a life-threatening condition that affects more than 1 million...
Our Advocacy Impact
We started our advocacy efforts in the late 1990s, representing the patient community at a handful of federally-hosted events. It was not until 2004 that we began to formalize an advocacy strategy when we put...
Your Healthcare Team
Living well with hydrocephalus often requires a team of healthcare providers. Together, you’ll monitor your condition.
Individuals Diagnosed with Idiopathic Normal Pressure Hydrocephalus Show Improved Quality of Life after Shunting
A new study found that shunting improved quality of life for people living with Idiopathic Normal Pressure Hydrocephalus (iNPH).
NPH and Comorbidities
NPH can frequently co-exist with other age-related neurologic and medical conditions that may produce similar symptoms.
HydrocephalusCONNECT Peer Support
PEER SUPPORT:HydrocephalusCONNECT Talk with someone who understands HA wants you to know that You Are Not Alone – We Are Here For You! The Hydrocephalus Association staff and teams of trained volunteers are ready to...
Transition Initiative: Transitioning from Pediatric to Adult Care
A major milestone in a young adult living with hydrocephalus is the transition from pediatric to adult medical care. Learn about the HA Transition Initiative.
Get to Know Dr. Brandon Miller: HA 2019 Innovator Award Grantee
In the second installment of our Meet the Innovator Awardees Blog Series, we interviewed Dr. Brandon A. Miller, one of four scientists who received an Innovator Award grant.
Summer Camp
If you think that your child’s condition will prevent him or her from participating in a summer camp, it’s time to think again. Learn more about camps available!
National Conference on Hydrocephalus: HA CONNECT
Our National Conference on Hydrocephalus provides resources and connections that address the medical, educational, and social complexities of living with hydrocephalus.
Living Independently
Hydrocephalus can affect your independence and day-to-day needs, and there are additional considerations to keep in mind. Learn more about living independently and hydrocephalus.
Preparing for College
Are you preparing for college? Learn about the important issues to consider when you’re living with hydrocephalus.
Essential Facts About Epilepsy and Hydrocephalus
Epilepsy is common in people with hydrocephalus. Of individuals with shunted hydrocephalus, an estimated 20% have epilepsy
Vision and Hydrocephalus
Some children and adults with hydrocephalus develop vision (eye) problems.
Chronic Pain and Hydrocephalus
Many people with hydrocephalus experience chronic pain although the exact numbers are unknown.
Disclosing in the Workplace
Deciding whether to disclose your hydrocephalus diagnosis in the workplace can be daunting. While sharing may lead to understanding and support, it’s a personal choice that requires careful planning, clear boundaries, and consideration of timing...
Research Events
The Hydrocephalus Association sponsors research conferences and workshops to bring together researchers, clinicians and academics from across multiple disciplines.
Get to Know Dr. Bernadette Holdener: HA 2019 Innovator Award Grantee
In our first installment of our Meet the Innovator Awardees Blog Series, we interview Dr. Bernadette Holdener, one of four scientists who received a Hydrocephalus Association 2019 Innovator Award.
Four Scientists Awarded HA Grants to Deepen Our Understanding about Hydrocephalus
There is a lot we do not know about how hydrocephalus develops and how to best treat the condition across our many communities. Our 2019 Innovator Award recipients are looking to change that.
The Day-to-Day of Headaches and Hydrocephalus
Living with hydrocephalus means living with headaches. In his latest post, Dan discusses headaches, weather changes, and the importance of knowing your body.
Study Finds CERTAS™ Plus Programmable Valve Safe from Everyday Magnets
Can everyday magnets affect programmable shunt valves? A new study found that the CERTAS™ Plus Programmable Valve resisted interference from common household magnets, even at close proximity.
St. Louis Event Celebrates 10th Anniversary of HA’s Research Initiative
Families and researchers from across the country came together on Nov. 3 to celebrate the 10th Anniversary of HA’s Research Initiative. The event, held in St. Louis, MO, highlighted the successes of our research investments...
Ask the Expert Video Series: Return of NPH Symptoms
In this episode, we explore why symptoms may return after treatment for normal pressure hydrocephalus (NPH).
Ask the Expert Video Series: ETV as a Treatment for NPH
In this episode, we discuss the treatment options for normal pressure hydrocephalus (NPH), including the endoscopic third ventriculostomy, or ETV, a surgical method that allows for treatment without the use of a shunt.
Ask the Expert Video Series: Symptom Improvement after NPH Treatment
This episode explores symptom improvement after treatment for normal pressure hydrocephalus (NPH).
Ask the Expert Video Series: Untreated Normal Pressure Hydrocephalus (NPH)
This episode discusses the long-term prognosis for individuals unable to be treated or who choose not to be treated for normal pressure hydrocephalus (NPH)
Ask the Expert Video Series: Dementia or NPH?
In this episode, we explore the proper diagnosis of NPH and the next steps once a diagnosis has been made.
Ask the Expert Video Series: Transitioning to Adult Healthcare
Planning for transition from pediatric to adult healthcare is key to its success; however, this process can be complex and overwhelming. In this episode of our Ask the Expert Video Series, we discuss how a...
Ask the Expert Video Series: Intracranial Pressure in Hydrocephalus Patients
Is there a normal level for intracranial pressure? How do doctors measure intracranial pressure and how is this procedure helpful for some hydrocephalus patients? In this episode of our Ask the Expert Video Series for...
Ask the Expert Video Series: With No Problems, Should You See a Neurosurgeon?
In this episode of our Ask the Expert Video Series, Drs. Mark Luciano and Abhay Moghekar, from Johns Hopkins Medicine, discuss whether hydrocephalus patients should see a neurosurgeon or neurologist even if they don’t have...
Ask the Expert Video Series: Pregnancy and Hydrocephalus — Is It Safe?
In this episode of our Adult Hydrocephalus Ask the Expert Video Series, Drs. Mark Luciano and Abhay Moghekar, from Johns Hopkins Medicine, answer a commonly asked question – is it safe for women with hydrocephalus...
Ask the Expert Video Series: Headaches and Hydrocephalus
In our Ask the Expert video for adults living with hydrocephalus, doctors from Johns Hopkins Medicine address whether hydrocephalus patients are predisposed to headaches and why. They also discuss ways to alleviate and prevent headaches....
Ask the Expert Video Series: Slit Ventricles vs. Slit Ventricle Syndrome
In this episode of our Adult Hydrocephalus Ask the Expert Video Series, Drs. Mark Luciano and Abhay Moghekar, from Johns Hopkins Medicine, discuss the difference between having slit ventricles and slit ventricle syndrome, and how...
In Memory Of Skylene
“Skylene saved the lives of 5 individuals through organ donation. She was the most giving person. If she knew she gave this gift of life she would be so proud!” Read Skylene’s story, told by...
ETV-CPC for the treatment of infants with hydrocephalus: Predicting Success
The Hydrocephalus Clinical Research Network (HCRN) conducted a study to determine which babies under two years old with hydrocephalus have the best chance of success with an ETV-CPC procedure. In her blog, Dr. Jenna Koschnitzky,...
New Clinical Trial Aims to Determine Effectiveness of Shunting for iNPH Patients
Patients diagnosed with idiopathic Normal Pressure Hydrocephalus (iNPH) are typically treated by having a shunt placed surgically. A new clinical trial will determine whether or not shunts are an effective form of treatment for iNPH...
Surviving College with the Ups and Downs of Hydrocephalus
College is an exciting time but can be challenging when you’re living with hydrocephalus. Here are some tips to survive college while managing the ups and downs of hydrocephalus.
Extracurricular Activities and Hobbies: The Positive Effect They Have for Individuals with Disabilities
People with disabilities can benefit greatly by taking part in hobbies and extracurricular activities. Here are some tips to help you identify the activity that’s right for you.
You spoke! We wrote!
In October 2017, 82 individuals responded to a question we posed on social media about how hydrocephalus impacts their daily life. Researchers at the University of Pittsburgh Medical Center analyzed their responses in a new...
Three Scientists Awarded HA Grants for Their Bold and Innovative Work
What if you could prevent or stop the development of hydrocephalus after a brain bleed or develop a shunt that doesn’t get clogged? That’s what the 2018 HA Innovator Award grantees are hoping to do...
Does the size of an Endoscopic Third Ventriculostomy (ETV) hole increase over time?
This study is the first to evaluate the size of the ETV hole using MR imaging over a period of time. This research is important because it shows us how useful MR imaging can be...
HA-Funded Researchers Awarded $2.3 Million Grant from the Department of Defense
HA-funded researchers were awarded funding through the Department of Defense (DoD) Congressionally Directed Medical Research Programs (CDMRP) to study acquired hydrocephalus, with a particular focus on hydrocephalus that develops after a brain injury.
HA-Funded Researcher Awarded $1.8M NIH Grant
The Hydrocephalus Association (HA) is funding the best and brightest. Since 2009, HA has spent $7.8 million on our research programs. Our researchers have then gone on to secure over $19 million in additional funding...
Announcing the 2018 Discovery Science Award Grantees!
The award allows these scientists to expand their research on posthemorrhagic hydrocephalus (PHH).
Hydrocephalus research presented at the international Europhysiology Conference
Alexandra Hochstetler was one of our ten Young Investigator Travel Award winners at the 2018 HACONNECT. This past weekend, she presented her work at the Europhysiology Conference held in London, United Kingdom!
Shunt versus ETV: Five year outcomes from the International Infant Hydrocephalus Study (IIHS)
The IIHS gathered data from more than 20 hospitals around the world, compared the effectiveness of shunts versus endoscopic third ventriculostomies (ETVs). This study started in 2005 and these are the five year outcomes.
Risk Factors for Ventriculoperitoneal (VP) Shunt Failure in Children and Adults
What specific factors are associated with VP shunt failure within 30 days of its placement? Do secondary shunts fail more often than primary (or first) shunts?
Choosing The Best College For You
Some of us with Hydrocephalus have the added stress of learning differences. These factors come into play when we start thinking about college.
Is there a connection between apathy and gait improvement in patients with Normal Pressure Hydrocephalus (NPH)?
Idiopathic NPH (iNPH) is a disorder commonly seen in older adults. The three common symptoms seen in adults with iNPH include: gait disorder (difficulty walking), inability to control urination, and behavioral disturbances.
Half a Million Dollars Secured for Hydrocephalus Research
In 2015, HA supported Dr. Michael Piper with a $50,000 Innovator Award to study how ependymal cells develop. We are happy to report that this preliminary work recently resulted in Dr. Piper winning a $500,000 grant...
Balance Therapy Tips for NPH Patients
A few months ago, I noticed that my balance was deteriorating so I mentioned it to my GP at my annual physical. He immediately ordered a CT scan and more Physical Therapy.
New views on Postinfectious Hydrocephalus
A recent study published in Nature, Dr. Chay Kuo, out of Duke University, discovered a mechanism that may lead to the development of Postinfectious Hydrocephalus.
Choice of Treatment could Alter Risk of Hydrocephalus After a Subarachnoid Hemorrhage
Hydrocephalus research is conducted all over the world. A recent study sheds light on the risk of developing shunted hydrocephalus after a specific type of brain bleed.
ETV-CPC for the treatment of infants with hydrocephalus
To determine if ETV-CPC provided a benefit compared to ETV alone or placement of a shunt, the HCRN decided to conduct a study which was recently published in the Journal of Neurosurgery: Pediatrics.
CSF Shunt Entry Site Trial
The CSF Shunt Entry Site Trial has reached the 75% mark in patient enrollment, that is 385 patients enrolled!
Tools To Help Patients With Hydrocephalus Make Informed Decisions About Their Health Care.
Most people with hydrocephalus have to live with the condition for their whole lives. Shunt surgery is just a method of treatment for hydrocephalus, but it is not a cure.
Department of Defense Funds Two Research Studies on Hydrocephalus
Department of Defense funding of two hydrocephalus researchers reflects the success of the Hydrocephalus Association’s Research and Advocacy Initiatives.
Christopher
Having a shunt has made my life anything but boring, and adjusting to what I call, “life in low resolution,” was not easy, it has changed my life’s path, but it hasn’t ruined it.
Exercise Tips for NPH patients
Trish recommends finding an activity to help you challenge both your mind and body and have fun while doing it! Read more about her exercise tips for NPH patients.
Matthew | Share Your Story
Matthew needed additional brain surgeries to move the catheter into his ventricle where, unless a cure is found, it will stay for the rest of his life.
Preliminary results from the International Infant Hydrocephalus Study
There are two common treatment options available for infants that suffer from Aqueductal stenosis: implantation of a shunt or an endoscopic third ventriculostomy
From Patient to Progress: New insights into preventing shunt blockages
While shunt implantation is a typical treatment option for people with hydrocephalus, there have been surprisingly few advances to decrease shunt failure rates since the 1950s
The Vision to End Hydrocephalus after a Brain Bleed
The Hydrocephalus Association’s annual Vision Dinner highlights the advances in research that aims to prevent or minimize the development of hydrocephalus after a brain bleed.
New Theories in Posthemorrhagic Hydrocephalus
A recent study expands these results to posthemorrhagic hydrocephalus in premature infants. Please take a moment to read more about this important research.
Interview with Olivia Bell, Cognitive Therapist – Part 1
This is the first part of Trish’s interview with cognitive therapist Olivia Bell. It covers who benefits from CT, how to find a therapist, and how to get the most out of the therapy appointments.
New Theories in Fetal-Onset Hydrocephalus
Current research suggests that a cascade of events involving cell junctions, the VZ, and the SVZ may be the cause of fetal-onset hydrocephalus and its accompanying neurological disorders.
How Tai Chi Helped Get Me Nearly Back to Normal
When it comes to treating balance issues that attend Parkinson’s and other brain and balance disorders such as hydrocephalus and aging, there’s only so much medication can do.
The Challenge of Diagnosing Shunt Dysfunction
Researchers aim to improve the way that physicians identify problems with a shunt implant.
New Tool Detects Pressure Non-invasively
Non-invasive tool may be instrumental in evaluating elevated ICP – a symptom of hydrocephalus and shunt malfunction.
New Insights into Normal Pressure Hydrocephalus (NPH)
A recently published study attempts to shed light on the long term outcomes of untreated iNPH by examining mortality rates, risk of dementia, and symptom progression in individuals with ventricular enlargement.
Physical Therapy Tips for NPH Patients
By the time Trish was diagnosed with NPH and had shunt surgery, she had lost her ability to walk unaided, so her neurosurgeon gave her a prescription for physical therapy.
New Study Seeks to Improve Outcomes After a Brain Bleed
Germinal matrix hemorrhage (GMH) is a brain bleed that occurs in approximately 3.5 per 1000 live births and remains a leading cause of mortality and lifelong morbidity in premature infants.
The Importance of Environmental Enrichment
Learn more about a recent study that suggests stimulating environments can improve cognitive outcomes for children living with hydrocephalus.
Cognitive Therapy for NPH Patients
If you have Normal Pressure Hydrocephalus (NPH) you might find Cognitive Therapy useful. Trish Bogucki explains what it consists of and shares some tips for others who might be in the same boat she was...
En Garde! The Sport of Fencing and Hydrocephalus
Jonathan, who lives with spina bifida and hydrocephalus, shares discovering fencing as a form of exercise and competition.
CSF Shunt Entry Site Trial
The CSF Shunt Entry Site Trial has reached the halfway mark in patient enrollment – that is 224 patients enrolled!
2016 Innovator Award Announcement
The Hydrocephalus Association is pleased to announce the funding of three hydrocephalus researchers through the HA Network for Discovery Science (HANDS), Innovator Award.
Aging Out of Pediatric Care: A Cautionary Tale
Four. That is how many different hospitals I visited trying to transition from a pediatric to an adult neurosurgery program in the midst of a shunt malfunction.
Ask the Expert Video Series: Can a Shunt that is No Longer Needed Be Removed
In this episode of our Ask the Expert Video Series, Marion L. (Jack) Walker, Amanda Garzon, and Jennifer Bechard discuss whether a shunt that is no longer needed can be safely removed.
Ask the Expert Video Series: Arrested (Compensated) Hydrocephalus in Adults
In this episode of our All Ages Ask the Expert Video Series, Marion L. (Jack) Walker, Amanda Garzon, and Jennifer Bechard discuss abdominal pain in individuals with hydrocephalus.
Ask the Expert Video Series: Barometric Pressure and Hydrocephalus
In this episode of our Ask the Expert Video Series, Marion L. (Jack) Walker, Amanda Garzon, and Jennifer Bechard discuss the effects of barometric pressure on individuals with hydrocephalus.
Ask the Expert Video Series: Hydrocephalus and Epilepsy
In this episode of our Ask the Expert Video Series, Marion L. (Jack) Walker, Amanda Garzon, and Jennifer Bechard discuss the connection between hydrocephalus and epilepsy.
Ask the Expert Video Series: Symptoms of Overdrainage
In this episode of our Ask the Expert Video Series, Marion L. (Jack) Walker, Amanda Garzon, and Jennifer Bechard discuss the symptoms of shunt overdrainage.
Ask the Expert Video Series: Shunt Revisions
In this episode of our Ask the Expert Video Series, Marion L. (Jack) Walker, Amanda Garzon, and Jennifer Bechard discuss shunt revisions and whether it’s common to go 20 years without needing one.
Ask the Expert Video Series: Abdominal Pain
In this episode of our All Ages Ask the Expert Video Series, Marion L. (Jack) Walker, Amanda Garzon, and Jennifer Bechard discuss abdominal pain in individuals with hydrocephalus.
HA Convenes the First International Workshop on Posthemorrhagic Hydrocephalus
Workshop on Posthemorrhagic Hydrocephalus (PHH) proves the potential for researchers to alter the course of the development of hydrocephalus and its long-term outcomes.
Splash Into Summer Fun with Summer Camp
Summer is right around the corner. Where will you child go to summer camp this year? A young adult from our community offers some insight and tips.
ISHCSF Highlights HCRN Studies on Shunt Failure and Infection
ISHCSF newsletter highlights Hydrocephalus Clinical Research Network (HCRN) studies around hydrocephalus shunt infection rates and risk factors.
Announcing the 2015 Innovator Award Grantees
2015 Awardees focused on research to better understand why hydrocephalus develops and to identify therapies to prevent or reverse hydrocephalus.
Hydrocephalus Association 2015 Resident’s Prize Award
One way the Hydrocephalus Association promotes research and leadership in hydrocephalus is through our annual Resident’s Prize. This prize is awarded each year to the most promising hydrocephalus-related research paper presented by a neurosurgical resident...
College Bound? Tips on the College Application Process
Dara Tannariello offers advice on how to tackle the college application process and shares insight from her personal experience.
New Discovery Makes Researchers Rethink CSF Absorption
The discovery of lymphatic vessels in the brain creates a new focus for researchers looking for non-invasive treatments for hydrocephalus.
Scientific Networks are Changing the Research Landscape
Together, the HA-funded HCRN, AHCRN, and HANDS are changing how hydrocephalus research is conducted and accelerating research progress.
Learning to Date Me
Bryant, our new guest blogger, shares openly about the unconditional support of his fiancee and resilience of their relationship as he lives with hydrocephalus.
HCRN Researcher Dr. Jay Wellons Demonstrates Importance of Multi-Center Studies
How do surgeons make decisions? How do they stand by those decisions and evaluate themselves? The HCRN set out to answer these questions in their study.
Predicting the Need for a Shunt after a Brain Bleed
Diagnosing the need for a shunt early after someone has had a brain bleed could prevent additional neurological deterioration, study finds.
Research UPDATE: Using the Newest Technology to Understand Hydrocephalus
How do the cells of an infant’s developing brain react to the pressures of hydrocephalus? Our former MYI recipient, Dr. Eskandari’s, goal is to find out.
Hydrocephalus Association Resident’s Prize Award
Announcing the Hydrocephalus Association’s 2014 Resident’s Prize Awardee.
HCRN-HA Partnership Results in $1.8 Million Hydrocephalus Research Grant
PCORI is awarding a $1.8 million grant in support of a HCRN-proposed randomized control trial to determine the most effective entry site for placing a shunt.
Through the NOSE! Non-invasive Modulation of CSF Absorption
A proof of concept paper shows that drugs delivered through a nasal spray could one day provide a non-surgical way to manage hydrocephalus.
To Share or Not to Share Your Condition on a First Date?
Our guest blogger talks about the thrill of the first date and whether or not to bring up living with hydrocephalus.
50th Anniversary of the Recognition of Normal Pressure Hydrocephalus
March 10, 2014, marks the 50th anniversary of the recognition of NPH as a distinct medical condition, allowing countless people access to the treatment needed to return to active lifestyles after possibly years of living...
HA and the Rudi Schulte Research Institute Announce a New Research Venture
The Hydrocephalus Association and the Rudi Schulte Research Institute (RSRI) announce a joint research venture with Dr. Mark Wagshul.
Medical Advisory Board Member on Research Team to Investigate Long-Term Outcomes of TBI
Dr. Richard Ellenbogen, a UW neurosurgeon and a member of the Hydrocephalus Association Medical Advisory Board, will serve as a principal investigator on a two-year, $2.4 million study looking into the long-term implications of damage...
Research UPDATE: Preventing Hydrocephalus in Premature Infants
In a study published in the journal Brain, researchers find that the infusion of a naturally occurring protein can prevent the development of hydrocephalus after an intraventricular hemorrhage. The results show great promise in the...
Insight into the Hydrocephalic Brain Using Diffusion Tensor Imaging
The Hydrocephalus Association aims to help our community understand the latest findings coming out of the hydrocephalus research community. In this blog, we summarize a study about Diffusion Tensor Imaging (DTI) and pediatric hydrocephalus.
Research UPDATE: Exploring Alternative Treatments
In our third installment of the Mentored Young Investigator (MYI) blog series, we showcase 2009 MYI recipient, Joon Shim, Ph.D. At the time of the award, Dr. Shim was a postdoctoral fellow at Boston Children’s...
HCRN Update: Shunt Infection Risk and Treatment in Children
Dr. Tamara Simon discusses her work as the Principal Investigator for the shunt infection registry for the Hydrocephalus Clinical Research Network. Her study aims to understand the risk factors associated with shunt infection and how...
HCRN Update: Biomarkers in Post Hemorrhagic Hydrocephalus
Dr. David Limbrick discusses his current research study which aims to develop a complementary tool to supplement the information from imaging in order to determine the best time to treat infants with post hemorrhagic hydrocephalus.
HA Established Investigator Publishes Research Findings on Congenital Hydrocephalus
James P. (Pat) McAllister, PhD, Director of Basic Hydrocephalus Research at the University of Utah and a Hydrocephalus Association Established Investigator grantee, has had his research findings related to congenital hydrocephalus published in the journal,...
HCRN Update: Shunt Outcomes in Post Hemorrhagic Hydrocephalus
In a new Research Department blog series, HCRN Update, Ashly Westrick interviews Dr. Jay Wellons, principal HCRN investigator for the Shunt Outcomes in Post Hemorrhagic Hydrocephalus study.
Research UPDATE: Investigating Alternative Treatment Options for Hydrocephalus
The Hydrocephalus Association (HA) Research Department update focuses on the research of Dr. Sonia Podvin who aims to develop safe, specific drugs to treat hydrocephalus. She is the recipient of a Mentored Young Investigator (MYI)...
Hydrocephalus Association’s Resident’s Prize: Dr. Ashley G. Tian
One way the Hydrocephalus Association promotes research and leadership in hydrocephalus is through our annual Resident’s Prize.
HA Funds Research, Announces New Research Grants
HA is pleased to announce two recipients of the Hydrocephalus Association’s grant program focusing on CSF Production, Flow, and Regulation. The long term goal of these grants is to create therapeutic interventions such as a...
2010 Hydrocephalus Association Resident’s Prize
The Hydrocephalus Association announces the 2010 Resident’s Prize Awardee, Ramin Eskandari, MD, MS.